Bryant Family Dentistry
Dr. Chelsea Bryant & Dr. Jim Bryant

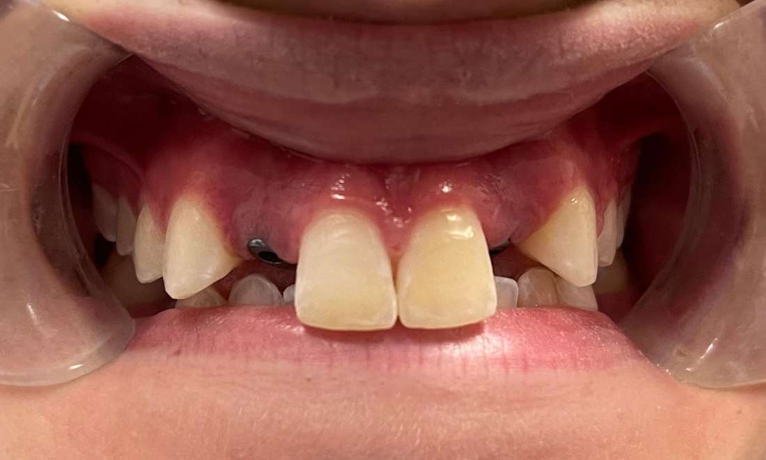
Replacing Missing Teeth - Implants

This patient was born missing her lateral incisors.  She wore a flipper while her implants healed and then came to see Dr. Chelsea for her implant crowns. Now she can smile with confidence!

Want More Information about Dental Implants in Knoxville?

Book an evaluation with one of our dentists to learn more! Call us at (865) 693-7631 or request a visit online. 

 

 

Related Services:

Dental Implants
Have Questions? Get in Touch
If you have difficulty using our website, please email us or call us at (865) 693-7631
View the ADA Accessibility Statement