Bryant Family Dentistry
Dr. Chelsea Bryant & Dr. Jim Bryant

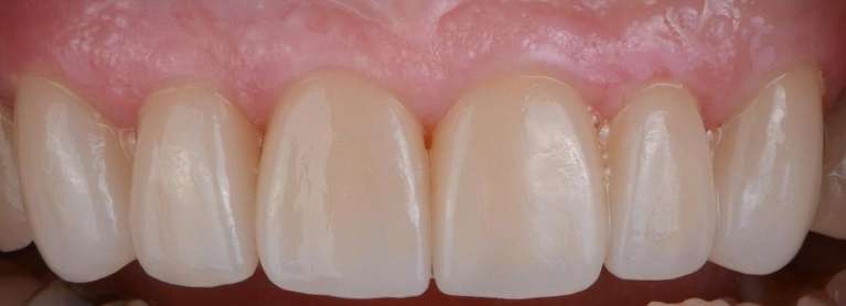
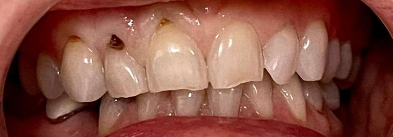
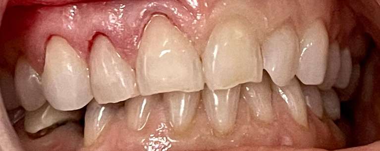
Smile Gallery

Take a look at some of the amazing smile transformations we've created for our patients!

Not finding what you need?
Are you considering another dentist? Don't. Go here.

Have you ever had an unpleasant interaction with another person? Well that doesn't happen here. At no point did I ever feel like anyone was anything but 100 percent invested in my comfort and well being. Not only that, but you can sense the skill and talent weilded by each and every professional in this practice. They all do their part flawlessly and effectively. Are you considering another dentist? Don't. Go here. They're amazing. Every single staff member is a kind, talented professional that just wants what's best for you. Still not convinced? Well you're an idiot. This team could do anything. I bet they could cure cancer, or put a satellite into orbit. Im pretty sure Dr. Jim has been to Mars. I'm honestly not sure why they even do dentistry, but hey I respect it. Someone has to be the best at it.
-Chloe K.
 

If you have difficulty using our website, please email us or call us at (865) 693-7631
View the ADA Accessibility Statement
Privacy Policy