Bryant Family Dentistry
Dr. Chelsea Bryant & Dr. Jim Bryant

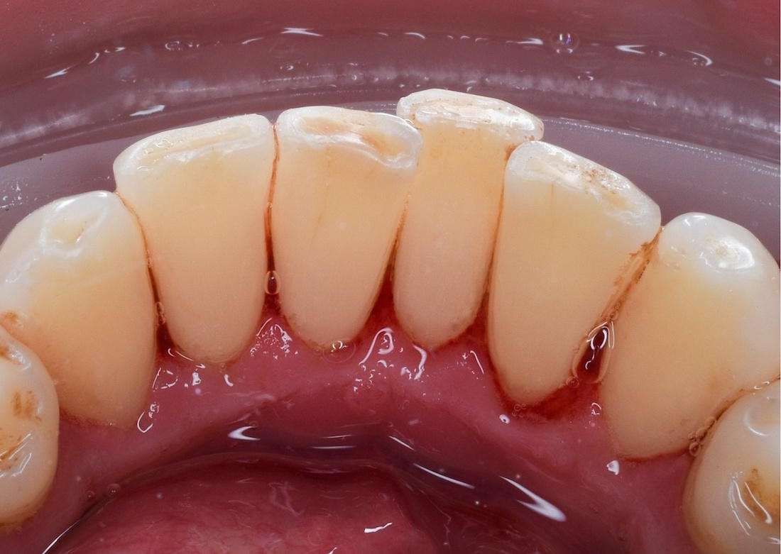
Dental Cleaning

This patient presented with severe tooth staining and discoloration that we removed with a professional teeth cleaning. 

Is It Time for Your Next Teeth Cleaning and Exam?

Contact your dentist in Knoxville at (865) 693-7631 if it's time to book your preventive care appointment. 

Related Services:

Teeth Cleanings & Exams
I would give more than 5 stars if possible.

I would give more than 5 stars if possible. The entire office staff goes above and beyond to ensure a pleasant dental experience. I have a small mouth and also gag easily. Both Dr. Bryants have done crowns on my teeth. They were extremely patient, caring and considerate as were their assistants. I highly recommend !
-Aletta R.
 

Ready to book an appointment?
If you have difficulty using our website, please email us or call us at (865) 693-7631
View the ADA Accessibility Statement